Am PCH ist eine hochauflösende, suszeptibilitätsgewichtete Bildgebung mit SWIp für die Diagnostik von Schädel-Hirn-Traumata jetzt Standard. Eine schnelle, kontrastmittelfreie Perfusionsbildgebung mit pCASL wird bei allen Patienten mit akuten zerebrovaskulären Störungen oder Befunden wie akutem Schlaganfall durchgeführt. Die hervorragende Fettsuppression von mDIXON TSE wurde am PCH zum Standardverfahren für die Fettsuppression in der Wirbelsäule und in den Extremitäten, für die Bildgebung von Läsionen im Weichgewebe von Gesicht und Hals und für die Kontrastverstärkung von pathologischen Veränderungen, die mit Fettsuppression am besten darstellbar sind.

Jeffrey H. Miller, MD, ist pädiatrischer Neuroradiologe und radiologischer Leiter der MRT-Abteilung am Phoenix Children’s Hospital. Akademische Ämter, die er bekleidet, sind Clinical Assistant Professor of Radiology am University of Arizona College of Medicine, an der Mayo Clinic-Scottsdale und am Barrow Neurological Institute beim Phoenix Children’s Hospital. Sein derzeitiges wissenschaftliches Interesse gilt der funktionellen MRT, der MR-Konnektomik und der Hirn-PET-CT. Dr. Miller kann eine umfangreiche Lehrtätigkeit über fortschrittliche pädiatrische MR-Bildgebung vorweisen.
Das Phoenix Children’s Hospital (PCH, Phoenix, Arizona, USA) ist die primäre Referenzkinderklinik im Bundesstaat Arizona, die Patienten mit den kompliziertesten pathologischen Befunden behandelt. In diesem Krankenhaus kommen zwei Ingenia 3.0T Systeme und zwei 1.5T Systeme zum Einsatz. „Wir sind ein Referenzzentrum für komplexe Erkrankungen des neurologischen Systems, insbesondere Schädel-Hirn-Traumata, Gehirntumoren, Epilepsie und Gefäßerkrankungen, einschließlich Schlaganfällen“, erläutert der Neurologe am PCH, Jeffrey H. Miller, MD. Zusammen mit dem technischen Leiter der MRT-Abteilung, Amber Pokorney, wendet Dr. Miller erweiterte MRT-Verfahren bei Fällen an, wo die Bildgebung besonders diffizil ist.

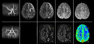
Der Nutzen suszeptibilitätsgewichteter Bildgebung bei der Darstellung von Gehirnverletzungen ist gut dokumentiert. Das Multi-Echo-SWIp-Verfahren von Philips liefert eine schnelle, suszeptibilitätsgewichtete Bildgebung mit verbessertem Suszeptibilitätskontrast und hoher Auflösung.
„Die pädiatrische Bildgebung stellt uns durchaus vor Herausforderungen“, sagt Dr. Miller. „Da unsere Patienten häufig sehr klein sind, benötigen wir eine Bildgebung mit hoher Auflösung. Bei Gehirnverletzungen benötigen wir schnell Informationen, damit das Klinikteam die erforderlichen Entscheidungen treffen kann. Wir sind auf eine hohe Auflösung und robuste Bildgebungskapazitäten angewiesen – Merkmale, die SWIp bereitstellt.“
„SWIp hilft uns bei der Erkennung von Blut oder Blutkomponenten, Kalzifizierung und Erkrankungen des Gefäßsystems“, führt Dr. Miller aus. „Bei Kindern mit Schädel-Hirn-Traumata werden die verletzten Bereiche hervorgehoben, und zwar besser als mit einigen der Verfahren, die wir früher angewendet haben. Diese Kinder weisen häufig Mikroverletzungen auf, die zu kleinen Blutungen oder Gewebeläsionen führen. Mit Hilfe von SWIp können wir das Ausmaß und die Art der Verletzung besser beurteilen. Die optimale Charakterisierung einer Verletzung unterstützt die diagnostische Sicherheit.“
„Ich würde anderen Benutzern die Implementierung von SWIp definitiv empfehlen. Wir fügten die SWIp-Sequenz anfangs hinzu, weil deren Einsatz in der Literatur sehr positiv bewertet wurde. Dann verglichen wir SWIp direkt mit den bei uns eingesetzten 2D-Gradientenechosequenzen. Nach einer Vielzahl von klinischen Erfahrungen, die den Nutzen belegten, entschieden wir uns, die alten Sequenzen durch SWIp zu ersetzen. Wir können damit die pathologischen Prozesse im Gehirn besser beurteilen, die bei unseren bisherigen Bildgebungssequenzen weniger offensichtlich waren“, erklärt Dr. Miller. „SWIp ist mittlerweile eine Routinesequenz für die Bildgebung bei Patienten mit Schädel-Hirn-Traumata am PCH, und sie wird episodisch auch bei Patienten eingesetzt, die intrakranielle Gefäßveränderungen aufweisen.“
„Ich glaube, dass SWIp sich aufgrund der hohen Sensitivität für venöse Blutkomponenten rasch zum Bildgebungsstandard bei Schädel-Hirn-Traumata entwickeln wird. SWIp kann auch bei der Gewinnung von Patienten helfen. So bitten unsere Neurochirurgen häufig darum, dass die Patienten mit unseren Scannern untersucht werden, die über hochempfindliche Verfahren wie SWIp verfügen. SWI-Sequenzen werden zudem immer häufiger bei anderen Gefäßveränderungen angewendet, da sie Optionen zur physiologischen Beurteilung des Gehirns bieten, die über eine standardmäßige strukturelle Bildgebung hinausgehen.“
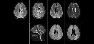
Pseudo-continuous Arterial Spin Labeling (pCASL, pseudo-kontinuierliche Spinmarkierung) wurde für die Bildgebung der zerebralen Perfusion ohne Kontrastmittel entwickelt. „Dies ist bei Kindern sehr erstrebenswert, da bei ihnen grundsätzlich versucht wird, die Gabe von Kontrastmittel weitestgehend einzuschränken“, erläutert Dr. Miller. Zunehmende Sicherheit bei spezifischen Anwendungen „Die Zuverlässigkeit von pCASL sicherten wir über einen Vergleich mit kontrastmittelbasierter Bildgebung ab. Nachdem wir uns davon überzeugt hatten, dass mit beiden Verfahren dasselbe dargestellt wurde, vergrößerten wir unsere Diagnosesicherheit noch über eine serielle Bildgebung im akuten Stadium bzw. in den langfristigen Stadien bei einer Anzahl von Patienten mit arteriellen Veränderungen.
Dr. Miller verwendet pCASL bei allen Patienten mit chronischen und akuten zerebrovaskulären Befunden wie akutem Schlaganfall sowie Patienten mit Anzeichen einer akuten Entzündung im Gehirn und gelegentlich bei Patienten mit Tumoren für eine Perfusionsbewertung des Tumors.
„In Kombination mit diffusionsgewichteter Bildgebung kann dieses Verfahren zu einer detaillierteren Beurteilung des Grades der Perfusionsstörung bei Patienten mit akuter Ischämie beitragen. Wir haben eine Reihe von Patienten, die unter chronischer arterieller Insuffizienz aufgrund früherer arterieller Störungen oder erworbenen arteriellen Veränderungen wie Sichelzellenanämie oder Neurofibromatose leiden. Gelegentlich manifestiert sich ein Krankheitsfortschritt beim Kind zunächst in einer reduzierten zerebralen Perfusion, bevor Schlaganfallsymptome klinisch oder in der diffusionsgewichteten Bildgebung manifest werden. Wir nutzen pCASL zur Unterstützung bei der Abgrenzung von Perfusionsstörungen.“
Anderen neuen Benutzern würde ich ebenfalls empfehlen, mit der Befundung von pCASL-Bildern im Vergleich zu anderen Standardbildgebungsverfahren zu beginnen – T2 und FLAIR und DWI –, bis sie selbst Sicherheit bei der Auswertung dieser Bilder gewinnen.“ „Der Nutzen von pCASL wird insbesondere bei Patienten mit chronischer zerebrovaskulärer Stenose deutlich, wo das Klinikteam Aufschluss darüber benötigt, wie die kompensatorischen Mechanismen des Gehirns wirken, um dessen ordnungsgemäße Durchblutung sicherzustellen. Das Klinikteam bezieht diese Funktionsweise der kompensatorischen Mechanismen häufig in die Entscheidung ein, ob ein chirurgischer Eingriff durchgeführt oder andere Maßnahmen ergriffen werden.“ „Eine weitere spezielle Anwendung besteht in der Beurteilung der zerebrovaskulären Reaktivität mit einer Diamox Perfusionsuntersuchung, bei der wir zwei Sätze mit pCASL-Bildern subtrahieren.“
„pCASL ist mittlerweile zu unserem bevorzugten Untersuchungsverfahren für die Perfusionsbewertung geworden und hat die DSC-basierte Perfusionsbildgebung mit Kontrastmittel hier abgelöst. Bei Patienten, für die kein Kontrastmittel vorgesehen war, können wir pCASL für die Perfusionsbildgebung durchführen, ohne die Untersuchung stoppen zu müssen. Der Patient wird einfach herausgeschoben und ein Zugang gelegt. Auch die Nachbearbeitung, die bei Kontrastmitteln mit dynamischer Suszeptibilität nötig ist, entfällt. Außerdem ist es möglich, eine Perfusionsbildgebung beim selben Patienten während einer Untersuchungssitzung zu wiederholen, was in Fällen, wo sich der Patient bewegt bzw. in Situationen hilfreich ist, wo ein Scan vor der pharmakologischen Perfusionsbildgebung erfolgen muss.“
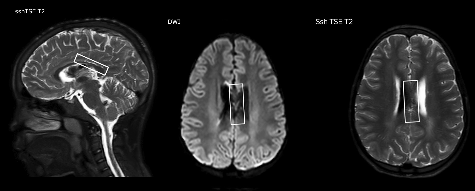
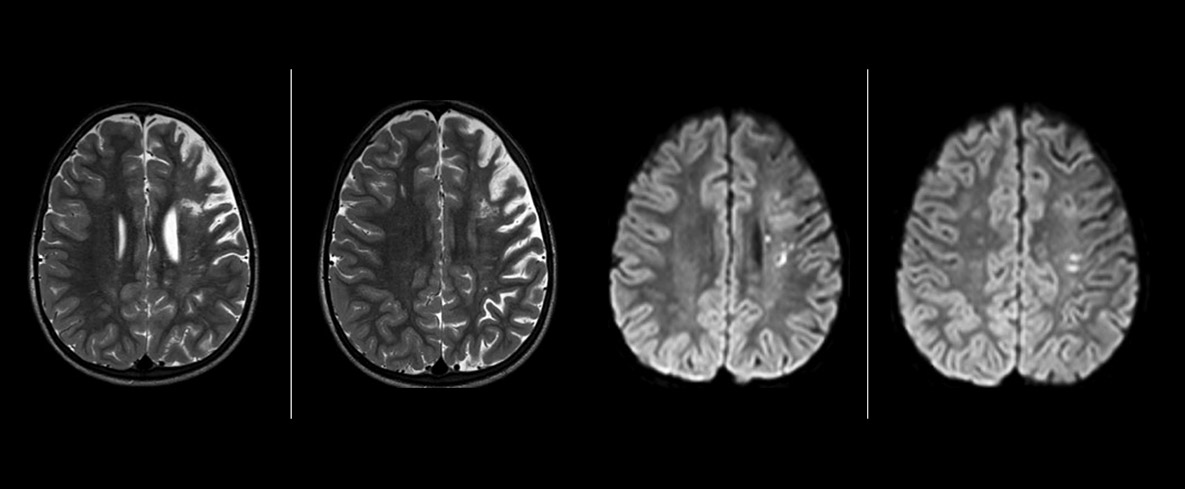
Philips mDIXON TSE ist ein Zweipunkt-DIXON-Verfahren, das Wasser- und Fettsignale trennt und so eine zeiteffiziente, fettfreie Bildgebung auch bei komplexen neurologischen Anatomien ermöglicht. „mDIXON TSE ist eine der signifikantesten Verbesserungen bei Bildgebungssequenzen, die wir am PCH bisher realisiert haben“, sagt Dr. Miller. „Dank der multiparametrischen Erfassung können wir Bilder mit Fettsuppression und entsprechende T2-Bilder ohne Fettsuppression in derselben Sequenz aufnehmen. Außerdem war es bei den bisherigen Methoden möglich, dass diese durch Artefakte aufgrund einer ungünstigen Patientenanatomie oder durch Bedienfehler beeinträchtigt wurden. Mit mDIXON verfügen wir jetzt jedoch über eine robuste und zuverlässige Methode zur Fettsuppression.“ Historisch gesehen bereitet die Fettsuppression am Ende des Sichtfeldes Schwierigkeiten, insbesondere bei der Bildgebung der gesamten Wirbelsäule und bei diffizilen Patientenanatomien wie dem unteren Halsbereich. „Aufgrund der einzigartigen Fettsuppressionseigenschaften von mDIXON treffen diese Probleme jedoch nicht mehr zu“, erläutert Dr. Miller. „Wir erhalten routinemäßig eine homogene Fettsuppression unter praktisch allen Bedingungen. Darüber hinaus konnten wir auch die Effizienz steigern, weil wir keine Sequenzen mehr aufgrund solcher technischen Einschränkungen wiederholen müssen.“
„mDIXON TSE hat unsere Diagnosesicherheit erhöht, weil Abweichungen, bei denen die Fettsuppression für die Diagnose entscheidend ist, definitiv abgeklärt werden können, zum Beispiel metastatische Erkrankungen oder ossale Veränderungen.“
„mDIXON TSE erweist sich bei Patienten mit Läsionen oder pathologischen Befunden im Weichteilgewebe wie Gesicht und Hals am nützlichsten sowie bei Patienten mit kontrastverstärkenden Abweichungen, die mit Fettsuppression am besten sichtbar sind“, so Dr. Miller weiter. „Unsere gesamte Wirbelsäulenbildgebung enthält mittlerweile mDIXON T2-Bilder auf reiner Wasserbasis, und dies ermöglicht uns die Erkennung von Pathologien, die bei einer Bildgebung ohne Fettsuppression zum Beispiel von Knochenverletzungen nicht sichtbar wären. Außerdem ist es nicht nötig, weitere TSE-T2-Standardbilder aufzunehmen, weil die mDIXON In-Phase-Bilder gleichwertig mit TSE-T2-Standardbildern sind.“
Ist die Nutzung dieser Verfahren eine gute Möglichkeit, um Patienten zu gewinnen und mehr Überweisungen zu erhalten? Absolut, meint Dr. Miller. „Unsere Neurochirurgen wünschen, dass ihre Patienten mit unseren Scannern mit SWIp-Funktionalität untersucht werden, damit eine Bildgebung mit den hochempfindlichen Verfahren erfolgen kann. Eine Reihe von neurochirurgischen Fällen von Kindern mit Sichelzellenanämie wurde speziell für die pCASL-Bildgebung an uns überweisen. Zudem ist die robuste Fettsuppression von mDIXON TSE für eine Anzahl von Diagnosen entscheidend, nicht nur bei Kindern, sondern auch bei Erwachsenen. Eine zuverlässige Methode zur Fettsuppression ist mit Sicherheit für Radiologen und Ärzte von Nutzen.“
Literatur Goetti R, O'Gorman R, Khan N, Kellenberger CJ, Scheer I. Arterial spin labelling MRI for assessment of cerebral perfusion in children with moyamoya disease: comparison with dynamic susceptibility contrast MRI. Neuroradiology. 2013 May; 55(5):639-47, Epub 2013 Feb https://www.ncbi.nlm.nih.gov/pubmed/23404242 Miller JH, Pokorney A, Naidu P, Eggers H, Shar M, Perkins T. Improved Fat Suppression and Field Homogeneity of mDixon TSE Total Spine Imaging compared to SPIR Fat Saturation for Post-Contrast T1-weighted Imaging. Proceedings of the Joint Annual Meeting of the ISMRM-ESMRB. Mailand, Italien: International Society for Magnetic Resonance in Medicine, 2014.
Aus den Ergebnissen von Fallstudien kann nicht auf Ergebnisse in anderen Fällen geschlossen werden. Die Ergebnisse in anderen Fällen können abweichen.
Die an dieser Einrichtung erzielten, in diesem Artikel beschriebenen Ergebnisse sind nicht unbedingt auf alle Einrichtungen zu übertragen.
Klinische Fallbeispiele
You are about to visit a Philips global content page
Continue