Bei Philips Compressed SENSE steht der Patient im Mittelpunkt. Die kürzere Untersuchungsdauer und die kürzere Atemanhaltezeit mit Compressed SENSE machen MR-Scans für Patienten leichter. Ihnen und Ihrem Team gibt die Anwendung mit kürzeren Zeitfenstern für die Untersuchungen mehr Zeit, Patienten vorzubereiten und für ein besonders angenehmes MR-Erlebnis mit höherer Patientencompliance und -zufriedenheit zu sorgen.

Mehr Zeit für Patienten

Kürzere Atemanhaltezeit

Weniger SAR

Für Patienten sind die Geräusche des MR-Scanners und die in beengtem Raum verbrachte Zeit belastend. Sie können nervös werden oder Angst bekommen. Durch kürzere Scanzeiten kann Compressed SENSE zeitliche Freiräume schaffen, um mehr Zeit für die Aufklärung und Betreuung von Patienten zu haben.

Nach der Einführung von Compressed SENSE am Kurashiki Zentralkrankenhaus erhöhte sich die mit Patienten während der Untersuchungsvorbereitung verbrachte Zeit um 67 %. In der Folge reduzierten sich Vorfälle/Fehler um 70 %.1,2
Die kürzere Scandauer mit Compressed SENSE verringert den Druck eines engen Terminzeitplans für das MR-Team. MTRAs können die gewonnene Zeit nutzen, um die Bildqualität zu verbessern oder mehr Zeit mit der Vorbereitung der Patienten oder mit Sicherheitsaspekten zu verbringen.“
Masayuki Kumashiro, PhD, leitender MTRA, Kurashiki Zentralkrankenhaus, Japan

Philips Compressed SENSE verkürzt die Zeit, die ein Patient im MR-Scanner verbringt. Außerdem kann mit Compressed SENSE die Atemanhaltezeit verkürzt werden, was die Patientencompliance bei einem MR-Scan fördert.

4,8 s Atemanhalten
Da kurze Atemanhaltephasen einfacher für unsere Patienten sind, kommt es jetzt fast nicht mehr vor, dass Patienten den Atem nicht lang genug anhalten. In unserer Einrichtung sind bei Kardio-MRTs jetzt weniger Atemanhaltephasen nötig, oder die nötige Dauer der Atemanhaltephasen hat sich verkürzt.“
Dr. Takashi Koyama, MD, PhD, diagnostischer Radiologe und Leiter des Radiologiezentrums und der diagnostischen Radiologie, Kurashiki Zentralkrankenhaus, Japan
Eine Atemanhaltephase von 15 bis 16 Sekunden ist für viele Herzpatienten schwierig. Mit Compressed SENSE haben wir jetzt Protokolle, in denen diese Zeit auf unter 10 Sekunden reduziert wurde. Das ist für die Patienten viel einfacher. Die Patienten sind dann mit dem Verfahren auch viel zufriedener.“
Trevor Andrews, Ph.D., MR-Physiker, University of Vermont Medical Center, USA
In der GI-Onkologie hat Compressed SENSE meiner Meinung nach eine wirklich außerordentliche Auswirkung auf die Scandauer. Für diese Patienten, für die längeres Liegen wegen Schmerzen oder Atemproblemen wirklich schwierig ist, ist das sehr wichtig. Wenn die Atemanhaltephase für eine dynamische mDIXON-Sequenz beispielsweise von 12 oder 13 Sekunden auf 9 Sekunden verkürzt werden kann, ist das ein großer Vorteil, der sich letztlich auch in einer besseren Bildqualität zeigt.“
Dr. Christoph Juli, Spitalklinikum Spital Uster, Schweiz

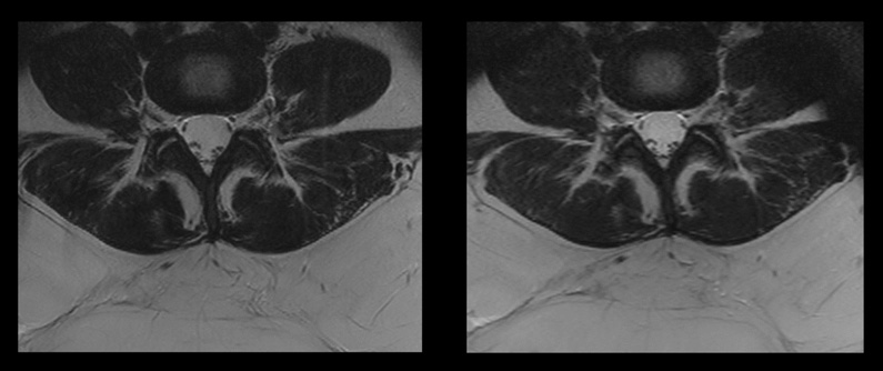
Compressed SENSE reduziert die SAR zum Vorteil des Patienten. Dies macht auch die Entscheidung leichter, Patienten mit herausfordernden Fragestellungen anzunehmen.
Patienten mit Metallimplantaten und anderen besonderen Voraussetzungen können in der MRT wegen der spezifisch erforderlichen SAR-Werten eine Herausforderung darstellen. Wenn Sie Compressed SENSE in Ihre ExamCard integrieren, können Sie die gesamte MR-Untersuchungsdauer reduzieren, sodass die SAR innerhalb der vom Hersteller des bedingt MR-sicheren Implantats angegebenen Grenzen bleibt. So können auch Patienten gescannt werden, für die eine MR-Untersuchung andernfalls abgelehnt werden müsste. Die kürzere Scandauer kommt gleichzeitig auch dem Patientenkomfort zugute.

Links: Herkömmlicher Scan mit SAR von 2,5 W/kg und Scandauer 7:33 Minuten
Rechts: Compressed SENSE Scan mit SAR 1,9 W/kg und Scandauer 3:21 Minuten
Wir suchen nach Wegen, auch jüngere Kinder ohne Anästhesie scannen zu können. Compressed SENSE wäre eine der Grundlagen dieses Programms.“
Jeffrey H. Miller, M.D., Leiter der Radiologie, Phoenix Children’s Hospital, USA


Wir hatten einen Borderliner-Patienten für eine Abdomen-MR-Untersuchung, bei dem die Notwendigkeit einer Sedierung bestand. Wir haben mit den Eltern besprochen, die Untersuchung ohne Anästhesie mit Compressed SENSE zu versuchen. Die Untersuchung des Kindes konnte erfolgreich ganz ohne Anästhesie abgeschlossen werden.“
Jeffrey H. Miller, M.D., Leiter der Radiologie, Phoenix Children’s Hospital, USA

Compressed SENSE kann die meisten MR-Scansequenzen ohne Kompromisse bei der Bildqualität beschleunigen. Dadurch konnte die KOYASU Neurochirurgische Klinik (KNC) ihre Nutzungsdauer für MR-Untersuchungen verkürzen und den Durchsatz ihrer MR-Scanner um durchschnittlich drei zusätzliche Patienten pro Tag erhöhen.

Erfahren Sie mehr über die wichtigsten Prinzipien von Compressed SENSE und wie es einen Paradigmenwechsel in der Effizienz herbeiführt. Die Bildqualität ist ein Grundstein von Compressed SENSE; sie kann außerdem Scans beschleunigen, die räumliche Auflösung erhöhen und den Patientenkomfort in der klinischen Magnetresonanztomographie verbessern.

Das MR-Team am Kurashiki Zentralkrankenhaus nutzt Compressed SENSE in den meisten seiner Untersuchungsprotokolle für Gehirn, Wirbelsäule, Abdomen und Herz auf seinem Ingenia 1.5T. Patienten und Mitarbeiter begrüßen gleichermaßen die schnellen und hochwertigen MR-Scans.

Ihre Zeit ist kostbar

Bei nahezu unverminderter Bildqualität1

Bei gleicher Scandauer
You are about to visit a Philips global content page
Continue