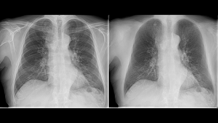
Philips Bone Suppression* ist eine innovative Technologie zur Bildoptimierung, die darauf ausgelegt ist, durch die Unterdrückung von Knochenstrukturen auf digitalen Bildern mehr Bildklarheit bei Thorax-Röntgenaufnahmen zu erhalten. Sie ist in den neuesten DigitalDiagnost C90 integriert und ermöglicht Weichgewebeaufnahmen bei digitalen Thorax-Röntgenaufnahmen.

Bone Suppression liefert neben der klassischen Thoraxaufnahme eine Weichgewebeaufnahme und unterstützt so ohne Erhöhung der Strahlendosis oder weiteren Zeitaufwand die Entscheidungsfindung des Radiologen. Mit Bone Suppression wird die Erkennung von abklärungsbedürftigen Lungenrundherden um bis zu 16,8 % verbessert.**
Diese Technologie ist vollständig in den Eleva Arbeitsablauf des Systems eingebunden. Je nach Protokoll kann für jede PA-/AP-Thoraxaufnahme automatisch ein Bild mit unterdrückten Knochenstrukturen generiert und zusätzlich zum klassischen Bild an das PACS weitergeleitet werden. So können die klassische Aufnahme und das Bild mit den unterdrückten Knochenstrukturen jederzeit über die PACS-Betrachtungsstation abgerufen und geprüft werden – ein schneller und einfacher Schritt zur Förderung der Entscheidungsfindung.
* ClearRead Bone Suppression von Riverain Technologies ** Freedman M et al. Improved detection of lung nodules with novel software that suppresses the rib and clavicle shadows on chest radiographs. Radiology. 2011.
You are about to visit a Philips global content page
Continue